Michael Bublik Site

Sinus CT Scan in Glendale, CA

In-Office Sinus CT Scan

Sinus CT Scan in Glendale & Burbank, CA - Southern California ENT and Allergy Associates

Computed Tomography CT of the Sinuses. Computed tomography of the sinuses uses x-ray equipment to evaluate the sinus cavities. CT scanning is painless, noninvasive and accurate.

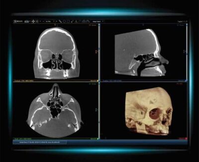
Sinus-Optimzied CT

Scan times range from 10-30 seconds and include protocols for pediatric patients. A high resolution, digitally versatile CT image is then immediately available on the computer monitor. ​

The scanner creates CT slices as thin as 0.2 mm, with instant views of hundreds of image planes. This isotropic resolution and full range of data provides physicians the information they need to diagnose and treat patients

Mini CAT Scan Glendale & Burbank, CA -SCENTAA

Lower Radiation is Better

While Computed Tomography (CT) scans are often necessary for diagnosis, all CT systems use X-rays, which expose patients to ionizing radiation. Xoran understands the importance of keeping radiation dose low. In designing its CT systems, Xoran follows the ALARA (As Low As Reasonably Achievable) principle, which means that Xoran minimizes radiation dose as much as possible without compromising image quality.
radiation levels

GET IN TOUCH

    Your Relief Starts Here

    Get in touch today and take the first step toward breathing easier, sleeping better, and living healthier.

    Skip to content